Říjňátka 2016
Autor: misa 30.4.2016 v 07:19
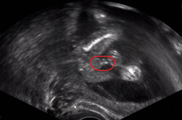
Ahoj holky,dlouho jsem se neozvala,13.4. Jsem sla na rehospitalizaci s hematomem do nemocnice,a od te doby tu lezim,bohuzel se mi hematom dvakrat mezi kontrolama zvetsil uz je 66mm na 19mm a navic je tak vlbe,ze hrogi odchlipnuti placenty:( takze lezim,smim jen na wc a na jidlo a jsem uz k.o. naposledy mi delali utz v pondeli a od te doby nic,tak doufam,ze ho po tydnu zopakujou,zacinaji se mnou cvicit hormony,vcera jsem asi hodinu brecela,kdyz
Autor: misa 30.4.2016 v 07:42
Jsem se koukla na nemocnicni perinu,jeste jsem tu bez netu,jen ted mi prisla navsteva a ja si vzpomnela,ze jsem slibila ze dam vedet jak to vypada,jsem uz vycerpana z vecne spatnych zprav,drzte se vsechny at jste v pohode
Autor: Kl4r493 30.4.2016 v 07:51
[893227] hlavne klid,s hematomem sem byla ve spitalu 14 dni,zvetsil se,pak se velikost ustatlila tak me s lekama a narizenym klidem pustili domu,mela jsem ho 55x16mm pak pak se zmensil na 25x9mm potom jsem zacla trochu krvacet tak sup do nemocnice hematom je ted 36x13,fakt to cce lezet jak mi trochu otrne a zacnu se vic hybat zacnu krvavet a hematom se zvetsovat
Autor: misa 30.4.2016 v 08:22
No u me je prusvih hlavne to umisteni,doktori rikaj ze jak odchlipuje placentu je to blbe
Autor: Kl4r493 30.4.2016 v 08:39
[893237] a v jakym jste tydnu??
Autor: Sany 30.4.2016 v 08:51
Míšo, hodně sil a pozitivního myšlení, ikdyž vím, že je to těžké. Určité máš léky a fakt lež, aby se nezvětšoval. To je neskutečný, co se všechno může stát v těhotenství:-((
Autor: Beru 30.4.2016 v 08:54
Miso, kámoška má hematom u placenty, nevím jak velký, ale prý dost. Má ho cca od 10.týdne a teď už je podle mě ve 29 tt. Sice teda striktně leží, ale ťuk ťuk zatím dobré. Tak držím moc palce.
Autor: misa 30.4.2016 v 08:55
Dnes 15+3,lezela tu vedle me holka,co ji tu nechali od 17 d
o 35 tydne...jojo lezim a posloucham doktory,ale uz jsem vycerpana,diky za povzbudiva slova
Autor: Siima 30.4.2016 v 10:41
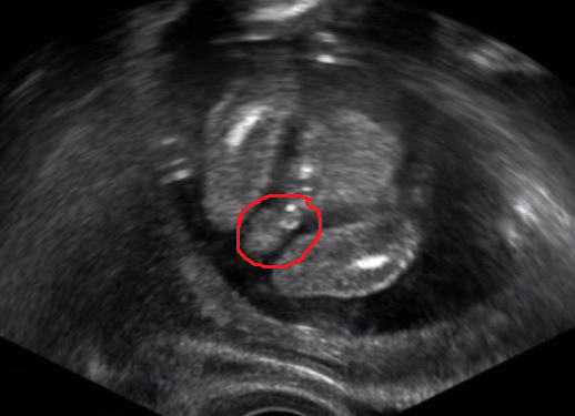
Ahoj kočkyyy, pardon že vás tak zanedbávám, ale mám toho moooc. Klári moc mě mrzí, že si zase v nemocnici, tak hodně odpočívej ať se ta mrška zase zmenší a ty můžeš domů. Jinak ve čtvrtek jsem byla na utz a nádherně se nám ukáza - máme chlapečka :-) moc jsme si přáli chlapečka, přítel je uplně nadšený. Je to naše první dítko. Testy z I. screeningu dopadly dobře :-) Malý má už 12 cm, a už tam byl celý takový skrčený. Navíc jsem ve středu cítila poprvé pohyby. večer celá ulítaná jak se vše sklidnilo jsem si masírovala bříško a najednou to přišlo, bylo to boží :-) Dostala jsem žádanku na velký ultrazvuk, na který se mám objednat. Tak vám držím pěstičky a´t je taky vše v pořádku
Jinak tady má malý krásné selfiičko 
Autor: Siima 30.4.2016 v 11:28
Byla jsme na mobilu holky tak jsem si vše nepřečetla, čtu že vás mám problémy více, moc mě to mrzí, tak se držte at je vám co nejdřííve :-)
Nový příspěvek
Nově založená témata v diskuzi
Co jíst pro zdraví vlasů?
Poslední příspěvek: 10.3.2026 v 10:52
Nedostupnost Cytealu
Poslední příspěvek: 22.2.2026 v 23:51
Hledám testerky pro nový web Babyplán.cz
Poslední příspěvek: 29.12.2025 v 22:55