TP duben 2017
Autor: Katka 7.12.2016 v 13:12
Ahoj holky,jsem rada,ze mate vysledky vsechny krasne a v poradku
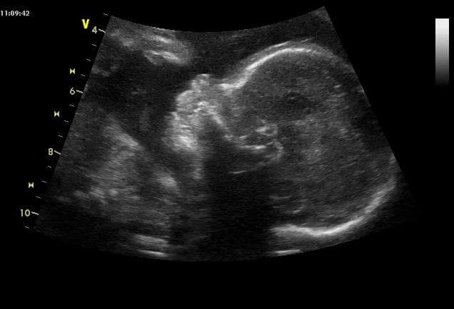
my dnes 2.screeaning take v poradku,tabulkove miminko
a pindika nam ukazuje na pozadani
je tak krasne videt,ze vam ho sem musim dat a ukazat

Autor: Alena 7.12.2016 v 20:14
Děkuji za popsání pohybů miminka.
Já myslela, že pořád nic, ale už týden cítím takové tlaky v podbřišku a někdy v noci jakoby škrábnutí v bříšku. Nejdříve jsem si říkala, jéé už je to tady a pak během dne, když jsem běhala v práci, tak jsem měla pocit, že nic necítím a zas to přišlo v noci/večer když jsem v klidu...
Jinak bříško mi solidně narostlo, a to jsem prvorodička
Váha ze začátku nic a během cca 3. týdnů jsem nabrala 3,5 kg.
Autor: Iveta 7.12.2016 v 21:20
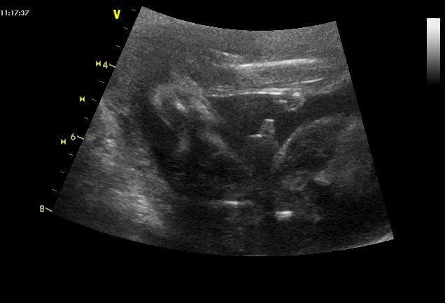
Ahoj děvčata . Tak mám za sebou druhý screeaning a vše je v poradku. Malá už kope ale flakato :-) Kluci mě dávali co pro to . Ale to přijde . :-) :-) :-)
Nejhorší co je že mě naprosto po všem pálí zaha a vrací se mi kyseliny . Bohužel se ještě furt mi nepodařilo stáhnout tlak . Mám 150/105 někdy spodní až 110
snazim se ale už nevím co mám dělat a do nemocnice zatim nechci .
Autor: Míša 8.12.2016 v 07:56
[958572] Baru, tak v tom jsme naprosto stejné, taky mám vše radši hodně dopředu, než něco honit na poslední chvíli :-) a cukroví už mám 6 druhů :-D už jen vosí hnízda, které se dělají až před Vánocema ;-) Já se pravděpodobně k žádnému předporodnímu kurzu nedostanu - ono mi snad i bohatě stačí ty chytré rady "zkušených" maminek :-D Když jsem zjistila, že jsem těhotná, nemyslela jsem na nic jiného než na ten "strašný" porod.. ale s každým dnem ten strach tak nějak sám mizí a já se nemůžu dočkat až ho budu mít poprvé v náručí :-)
Krásné Vánoce i Vám :-)
Autor: Míša 8.12.2016 v 08:11
Je to paráda, že máte mimika v pořádku, jen tak dál :-) Já už se také těším, až ho v pondělí uvidím - po 8 týdnech :-(
Díky popisu pohybů jsem si uvědomila, že už ho taky občas cítím a za poslední týden to začíná být silnější a také bych řekla, že i bříško začíná pěkně narůstat ;-)
Ivet, já myslela, že se v těhotenství trpí spíš na nízký tlak :-( snad se ti srovná a užiješ si zbytek těhotenství v klidu ;-)
Autor: Bara :-) 8.12.2016 v 10:02
[958748] vosi hnizda mam taky v planu ale jinak by se u nas vic druhu nesnedlo. 28.12 jdu za cukrovku a pak na sladky nebudu mit asi ani pomysleni a presedlam na chlebicky ? ja jsem prave taky vsude vsude slysela jak je porod hrozna ale krasna vec a podobne negativni veci. Ale s mimcem i s pritelem jsme domluveny ze to bude vsechno ok a ze si to tam uzijeme. Nenechavam se nikym a nicim rozhodit.
Autor: Iveta 8.12.2016 v 10:15
Porod vůbec není strašný čeká mě třetí a moc se těším . Pár minut před tím než mimisek přijde tak je to únavné ale když tam budete mít tatky tak se soustredite na něj . Hned jak mimisek vykoukne vše zapomenete a jen slzy štěstí vas tři poteckou
Autor: Bara :-) 8.12.2016 v 10:37
[958793] takovych jako jste vy by kolem nas melo byt vic. Ja opravdu slycham vetsinou to negativni, ale kdyz nekdo slysi muj nazor tak mi ho nevyvraci takze proste bude vsechno dobry. No pritel bi ze bych ho tam chtela ale nejak sam pochybuje-ale ona zvedavost bude silnejsi takze se ani nebojim toho ze by tam semnou nesel.
Autor: Ivča 8.12.2016 v 12:55
Já jsem slyšela pozitivní i negativní zážitky z porodu, každý to má jinak. I když jsem prvorodička a v podstatě nevím, co vše mne čeká, tak se na to už teď moc těším. Beru to jako nejkrásnější okamžik v životě, protože se narodí zlatíčko, na které se těšíme devět měsíců. Pro mne i pro partnera to bude zážitek a užijeme si jej :)
Autor: Bára27 8.12.2016 v 19:51
Ahoj :) všem moc gratuluji k dobrým výsledkům :)) řešíte porod. U prvního těhotenství sem nevěděla co bude ,ale neřešila sem to a věřila ze vše půjde jak má a bez problému. A vše šlo dobre a bez komplikaci. Ano, samozřejmě ze to bolí jako prase , ale to bolí i zkopnuty palec . Druhy den sem už bolest zapomněla. Videt to malé stvoření je něco neskutečného a je to láska na první pohled ;) teď čekám druhé. Vím do čeho jdu, co mě čeká. Říkám si zas ze to bude dobrý ze to zase zvládneme , alw už mě tam někde vzadu hloda ten cervicek co mi připomíná tu bolest takže mám občas i strach. Říkám si bože na co sem se to zas dala , vždyť já rodit nechci :-D ale na druhou stranu se těším ;)
Nový příspěvek
Nově založená témata v diskuzi
Co jíst pro zdraví vlasů?
Poslední příspěvek: 10.3.2026 v 10:52
Nedostupnost Cytealu
Poslední příspěvek: 22.2.2026 v 23:51
Hledám testerky pro nový web Babyplán.cz
Poslední příspěvek: 29.12.2025 v 22:55