TP přelom srpen - září 2016

Autor: lexine   5.2.2016 v 16:54

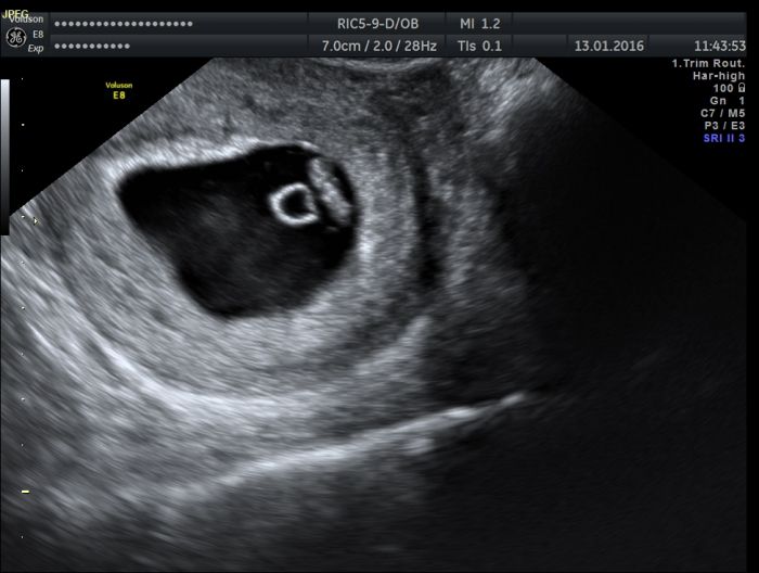
[848996] Já tam poznám jen ten váček, v ostatním se nevyznám Embarassed Prcek měl ke konci 7.tt 7,6mm a byla tam taková tyčinka

Autor: March   5.2.2016 v 17:29

Anamor, píšou tady, že na konci 5. týdne měří plod zhruba 2mm. To sice nesedí podle PM, ale tím bych se netrápila. Pokud tam byly původně 2, tak může být fakt menší a asi i trvalo, než se vajíčko zahnízdilo :-)

Autor: Ter+2   5.2.2016 v 17:36

Lexi, mela jsem ted v polovine 7tt hodne podobny obrazek (ja jsem si o neho zapomela rict). Anamor, nechci nijak strasit, ale prijde mi to strasne malinky. Ja jsem mela posledni MS 20.12.a vcera na utz by bylo stejne velky, jak u Lexine.

Autor: Síma   5.2.2016 v 18:24

Když ji nechcete strašit, tak jí nestraště! Každý dítě je jiný, jinak velký, teď nazačátku jde jen o to, jestli roste nebo ne, když bude příště větší než dnes, tak je to ok, anamor nestresuj se, pokud byly dvě, tak logicky nebude tak velký jako jedno. Hlavně klid! :)

Autor: Anamor   5.2.2016 v 19:16

[849044] díky!!!!

Autor: Peťula   5.2.2016 v 20:43

@Amor - ja mela poslední MS 1.12. (5 dni) a jsem 9+4, tak ty by si mohla byt tak 8t ne?!

Autor: Peťula   5.2.2016 v 20:44

Pardon " ANAMOR" ;-)

Autor: Anamor   5.2.2016 v 20:51

[849113] podle MS ano,ale ne podle utz :-/

Autor: Majinka   5.2.2016 v 21:12

Tak by mě zajímalo jak to ty doktoři počítají. :-) Poslední MS jsem měla také 1.12. a dnes jsem podle zápisu v těhu průkazce 9+3. Peťul jaký máš TP porodu? Já podle MS 6.9.

Autor: VAN   5.2.2016 v 21:23

Stejne je zvlastni, ze se to takhle rozchazi, u nekoho vic u nekoho min, ja mam rozdil mezi PM a tim co ukazuje utz 1 den. Je zajimave co ta technika dokaze zjistit.

1 ... 43 44 45 ... 240
I I

Nový příspěvek

img

Povolené jsou soubory jpg, png.

Nově založená témata v diskuzi

Co jíst pro zdraví vlasů?

Zdraví a nemoc

Poslední příspěvek: 10.3.2026 v 10:52

Nedostupnost Cytealu

Zdraví a nemoc

Poslední příspěvek: 22.2.2026 v 23:51

Hledám testerky pro nový web Babyplán.cz

Těhotenství

Poslední příspěvek: 29.12.2025 v 22:55

Zobrazit celou diskuzi

Aktuality na webu

Zobrazit všechny aktuality

Těhotenská kalkulačka

V naší těhotenské kalkulačce si můžete spočítat týden těhotenství, trimestr, předpokládaný termín porodu, počet dní do termínu porodu a odhad váhy a délky miminka.