TP Září 2014

Autor: Uninec   27.1.2014 v 16:30

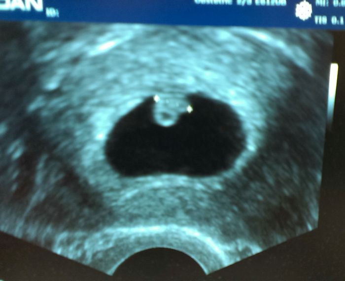
Ahoj,tak jdeme z gyn. Dle UZ jsme 6+3,máme přes 8mm a srdíčko bije,tak doufám,že bude víc dobrých zpráv :-)

Autor: LuckaB   27.1.2014 v 16:42

[437207] Jeee Uninec, to je krasneee :))

Autor: Lenka6.9.   27.1.2014 v 16:42

Gratulace Uninec :D jen tak dal. Dellio neboj, vse muze byt jeste v poradku, nenervuj se a pockej do stredy, budes moudrejsi. Drzim pesti :) Jinak ja dnes odpoledne jen lezim a odpocivam, neverily byste, jak je 6 hodin cestovani (vlakama) narocne.

Autor: Baru86   27.1.2014 v 16:43

[436936] Jojo, to jsem byla já v tom červeným županu, jsem z čb :) Taky jsem na tu zprávu čekala strašně dlouho, domu jsem se dostala až po 1, ale hlavně, že jsem doma a že je to  dobrý :) Koukala jsem, že tě dokonce přijali taky ve středu s krvácením jako mě. Tak hlavně, že je tahle ošklivá zkušenost za náma a nemocnici uvidíme až v létě s miminkem :)

Autor: LuckaB   27.1.2014 v 16:45

[437204] Dellia nestras, mysli pozitivne :)) nekdy to tak pry byva, ze az na konci 6. nebo v 7.t. Ja jdu taky ve stredu, budu 6+1, tak kdyztak budete podporovat vy me....

Autor: Uninec   27.1.2014 v 16:50

Moc děkuju,holky. Teď si musíme přát pozitivní zprávy od ostatních,myslím,že všechno bude dobrý ;-) důležitý je myslet pozitivně,když myslíte na to špatný,tak si to můžete jen přivolat. Je to těžký,sama to vím,ale dá se to naučit. Bude to všechno dobrý!

Autor: Dellia   27.1.2014 v 17:02

Dekuji za podporu, budu se snazit myslet pozitivne!

Autor: Werča   27.1.2014 v 17:36

[437222] jojo..jeee tak to je dobry...skoda,ze jsme to nezjistili driv...mohli jsme tam pokecat :-)...a mas nejake omezeni?me rekla,ze se mam proste setrit..ale jen lezet nemusim...coz stejne budu..krom klasickych veci doma..mam doma 2,5 leteho klucika..tak to nebude tak jednoduche..ale budu se max snazit odpocivat..ty brdo..tak to jsme na tom stejne..je tu skupina tehulky ceske budejovice a okoli..tak abych vam tady neplnila diskuzy muzem si obcas napsat i tam..co myslis

Autor: Ajík   27.1.2014 v 17:59

Uninec, veliká gratulace k super zprávě, dobrému ULZ a krásné fotočce. Já jdu na kontrolu ve středu a taky se nemůžu dočkat Laughing. Dneska se vrátil do práce kolega z hor a je šíleně, ale šíleně nastydlej, takže jsem jak na jehlách, jestli to od něj nechytnu. Tohle období je v tomto směru fakt na nic.....

Vítám taky nové těhulky a přeji jim hodně štěstí Smile.

Autor: Baru86   27.1.2014 v 18:03

[437305] Tyjo, to je fakt náhoda :) Omezení nemám, jen si musíme dát s přítelem pohov od milování, jinak se mám taky jen šetřit, mít klidový režim, ale já nevydržim dlouhoi ležet a navíc by mi to neutíkalo, tak budu vařit a dělat nějaký lehčí práce. Dneska jak jsem ale přišla, tak jsem z tý nemocnice byla unavená jak kdybych týden někde tvrdě makala, hned jsem to zalomila a tak na dvě hoďky usnula. Určitě, já jsem taky hledala nějaký budějovičačky, ale nic jsem nenašla, nebo byly ty diskuze už starý.

1 ... 198 199 200 ... 1210
I I

Nový příspěvek

img

Povolené jsou soubory jpg, png.

Nově založená témata v diskuzi

Co jíst pro zdraví vlasů?

Zdraví a nemoc

Poslední příspěvek: 10.3.2026 v 10:52

Nedostupnost Cytealu

Zdraví a nemoc

Poslední příspěvek: 24.3.2026 v 18:10

Hledám testerky pro nový web Babyplán.cz

Těhotenství

Poslední příspěvek: 29.12.2025 v 22:55

Zobrazit celou diskuzi

Aktuality na webu

Zobrazit všechny aktuality

Těhotenská kalkulačka

V naší těhotenské kalkulačce si můžete spočítat týden těhotenství, trimestr, předpokládaný termín porodu, počet dní do termínu porodu a odhad váhy a délky miminka.