Umělé oplodnění
Autor: Lenka 13.3.2012 v 15:33
Sáro, nikdy jsem neslyšela nic o tom, že by jsi neměla pít kafe. Já sice kafař nejsem, takže mě se to během stimulace netýkalo, ale nezdá se mi to. Ani mi žádný doktor nic takového neřekl. Jsou to pro Tebe dny jako každý jiný den, jen dostáváš léky, aby těch vajíček bylo víc než jedno. Po embryotransferu kafe nemůžeš, ale to prostě proto, že dokud se nepotvrdí opak, máš se chovat jako těhotná. Nesmíš žehlit, luxovat a dělat žádné podobné práce.
Autor: Sára 13.3.2012 v 19:47
o.k.,ale i tak si říkám,že kofein není moc prospěšný,takže ho raději vynechám..jen tak,pro svůj lepší pocit..
Autor: Monika 26+1 14.3.2012 v 10:22
Ahoj holky já jsem taky nepila kafe, nepila jsem ho od té doby jak mi vzali vajíčka a nepiji ho ani teď, a to jsem milovala kávu, pila jsem ji 2x denně, mňam
. Ale teď mi ani nechybí, tak uvidím jestli zase začnu, možná až po kojení.
. A bylo mi to taky doporučené od mé doktorky, ať kafe vynechám, no co doktror to názor.
hezké dny
Autor: Sára 14.3.2012 v 14:53
přesně tak Mončo..každý řekne něco jiného.....
Autor: Lenka 15.3.2012 v 22:20
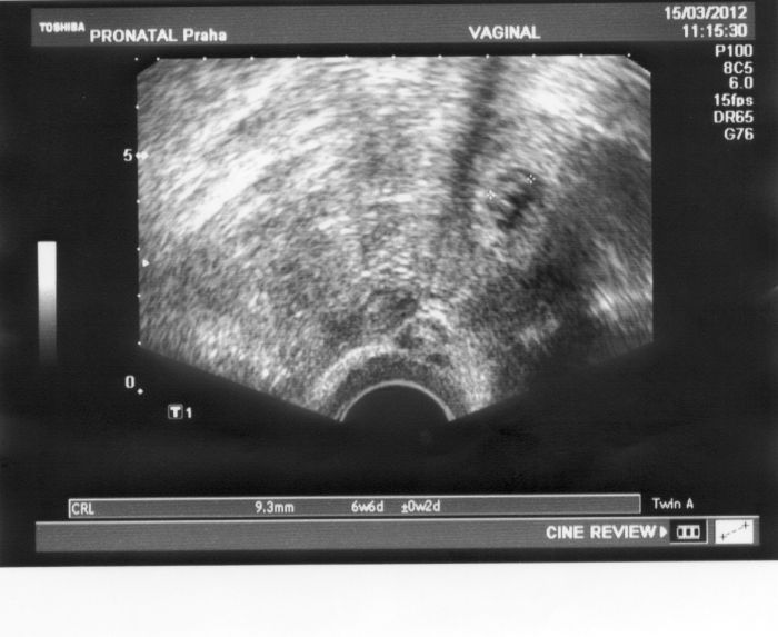
Já se musím pochlubit. Byla jsem dneska na UZ a všechno je úúúúplně super. Už jsem dostala i fotečku, ale je na ní jenom takový malý flíček
Autor: Majka 16.3.2012 v 08:12
[118360]Ahoj Leni, tak to je kráááásnýýýý, moc gratuluju. Teď buď hlavně opatrná a šetři se
. Já ti přeju hodně štěstíčka.

Opatruj se 
Autor: Lenka 16.3.2012 v 09:39
Ahoj Majko. Moc, moc děkuji. Doktoři se mnou zacházejí jako v bavlnce. Myslím, že mých 16 let čekání je na klinice rekord.
Jsme s partnerem úplně mimo. Pátý pokus IVF. Teprve 7+2, ale naše mimi je bojovník. 


Autor: Sára 16.3.2012 v 09:43
Leni obrovská gratulace letí!!!!!!!!!!!!!!!!!!!!!!!!!!!!!!!!!
Autor: Lenka 16.3.2012 v 09:48
Ahoj Sáro. Moc děkuji. Tobě to také vyjde. Uvidíš.
A neboj. Ono to uteče jako voda. Mě se ty tři týdny po transféru, kdy jsem měla čekat, než si udělám test, zdály úplně nekonečný a najednou je to 5 týdnů, ani nevím jak.
Autor: Majka TP- 8.6. 16.3.2012 v 10:03
[118508] Leni, tak to už máte taky pěkně vymodlené co??? Můžu se zeptat kolik je ti let, že tak dlouho čekáš ??? Pátý pokus??? teda tak to je síla a dávali jste jedno nebo dvě ????
Nový příspěvek
Nově založená témata v diskuzi
Co jíst pro zdraví vlasů?
Poslední příspěvek: 10.3.2026 v 10:52
Nedostupnost Cytealu
Poslední příspěvek: 22.2.2026 v 23:51
Hledám testerky pro nový web Babyplán.cz
Poslední příspěvek: 29.12.2025 v 22:55