Dubňátka 2015
Autor: Nellinka 8.9.2014 v 15:51
Neni no :) ale co uz :) je to jeste prcek, nikdy jsem se v te fotce nevyznala, kdyz mi ji někdo cizi ukazoval, ale kdyz je moje vlastní tak ho hned poznám :)))
Autor: Venda TP 18.4.2015 8.9.2014 v 17:29
Mě fotečku z UZ poslal na e-mail, na první toho taky moc vidět není. Je to 8tt. Tak taky doufam,že na další kontrole 24.9. bude už něco k vidění. A já taky nic neplatím, ani minulé těhu jsem nic neplatila. Jen mi to poslal i s tou cystou, co mám vlevo na vaječníku.
Autor: Bětka TP 20.4. 8.9.2014 v 17:48
Holky tak já budu mít fotečku příště ale v ruce, tak nevím jestli to půjde dobře nafotit a dát sem 
jo a taky bych chtěla požádat o fotky vašich pupíčků, jestli už nějaké máte, hlavně vy co máte termín na začátku dubna.
Autor: Sabrey 8.9.2014 v 18:53
Lékorko, jak to mám udělat, abych měla u každého příspěvku ten "kalendářík", jak ho vytvořím? Děkuji za radu :-)
Autor: Laduš 8.9.2014 v 18:59
Ahoj holky tak tu koukam na fotecky a zavidim , jeste nic v ruce nemam snad uz budu mit pristi tyden neco to budu v 10tt
Autor: Lékorka 8.9.2014 v 19:16
[633949] Sabrey, když klikneš na ten můj kalendářík, tak se dostaneš na stránky, kde se dají vytvořit. Když to budeš mít, zkopíruješ hotový odkaz, co ti to vyhodí, sem do textu k profilu 
Autor: Lékorka 8.9.2014 v 19:17
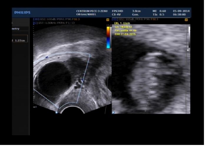
Krásné fotečky máte!! Tak pro úplnost i moje z 8tt.
Pupík někdy vyfotím, ale zatím ho spíš schovávám, protože je ve fázi něco mezi špekem a těhotenským bříškem 
Autor: Sabrey 8.9.2014 v 19:32
Tak na druhý pokus 
Nový příspěvek
Nově založená témata v diskuzi
Co jíst pro zdraví vlasů?
Poslední příspěvek: 10.3.2026 v 10:52
Nedostupnost Cytealu
Poslední příspěvek: 22.2.2026 v 23:51
Hledám testerky pro nový web Babyplán.cz
Poslední příspěvek: 29.12.2025 v 22:55
